
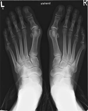
Hallux valgus is een standsafwijking van de grote teen. De grote teen staat hierbijnaar buiten gericht, zie de röntgenfoto rechts (bron: Michael Nebel).
Soms ontstaat er een pijnlijke, ontstoken slijmbeurs aan de binnenzijde van de grote teen. Dit wordt een bunion genoemd. De grote teen zal in een verder gevorderd stadium ook in een gedraaide stand komen te staan.
Op jonge leeftijd kan er al sprake zijn van hallux valgus. Op latere leeftijd komt het vooral voor bij vrouwen (90% van de gevallen). Er lijkt een erfelijke factor aanwezig te zijn, omdat het bij vrouwen vaak in de hele familie voorkomt.
Meestal komt een hallux valgus in combinatie met een verkorte achillespees of een doorgezakte voet. Ook damesschoenen helpen niet mee. De schoen is vaak te smal en door de hoge hakken komt er extra druk te staan op de voorvoet. Dat is ook een mogelijke oorzaak van een hallux valgus.
Klachten bij een hallux valgus
Als er sprake is van pijn bij hallux valgus, komt dat meestal door een bunion. Deze kan door druk van de schoen geïrriteerd raken en er ontstaat dan een slijmbeursontsteking in de teen. Ook de tweede teen (naast de grote teen) kan in de knel komen te zitten. Dat geeft een drukplek.
Maar vaak hebben mensen met een hallux valgus ook geen klachten hiervan.
Het stellen van de diagnose hallux valgus
Hallux valgus wordt vastgesteld door lichamelijk onderzoek, gecombineerd met een röntgenfoto om te kijken of er ook slijtage is van het teengewricht tussen het middenvoetsbeentje en de grote teen. Ook kan op deze röntgenfoto gezien worden hoe ernstig de standsafwijking is. Dit kan worden opgemeten en in graden worden uitgedrukt.
Behandeling van een hallux valgus
Bij een hallux valgus wordt altijd eerst geprobeerd de klachten te verhelpen zonder een operatie. Hierbij gaat het vooral om het aanpassen van de schoenen. Schoenen van zacht leer zijn comfortabel en kunnen ook opgerekt worden op de plek van de pijn. Daarnaast wordt het dragen van hoge hakken en schoenen met een smalle punt, sterk afgeraden.
Als er een onderliggende oorzaak is zoals platvoeten of eelt onder de bal van de voet, dan kunnen de klachten vaak met een steunzool worden verholpen.
Mocht dit allemaal niet helpen, dan kan mogelijk een operatie worden uitgevoerd.
Operatieve behandeling van een hallux valgus
Als de bovengenoemde behandelingen niet helpen, kan besloten worden tot een operatie waarbij de standsafwijking van de grote teen wordt weggenomen. Hiervoor zijn verschillende technieken beschikbaar en de chirurg zal bepalen welke voor u het beste is.
Meestal is de operatie een combinatie van osteotomie, artrodese en het herstellen van de weke delen. Osteotomie is het doorzagen van de botjes in de teen en deze weer in de juiste stand aan elkaar zetten. Artrodese is het vastzetten van het gewricht tussen voet en teen. De weke delen tenslotte zijn de structuren rondom het gewricht van de grote teen. Deze zijn vaak opgerekt door de hallux valgus en kunnen ingekort worden.
Na de operatie van een hallux valgus
Afhankelijk van de soort operatie, krijgt u na de operatie gips om de teen/voet of een steunend drukverband. De voet mag dan meestal enkele weken niet belast worden. Dit zal uw arts met u bespreken.
Als het gips of het verband van de voet/teen afgaat, is er vaak sprake van stijfheid van de grote teen. Door oefening kan deze stijfheid weer verdwijnen.
Na een halfjaar is de stijfheid en de zwelling in de teen meestal wel verdwenen.
Mocht er na verloop van tijd opnieuw een hallux valgus ontstaan, dan kan dit weer geopereerd worden.